|
1) Ä¡¾ÆÇ¥¸éÀÇ Å»È¸
Żȸ¶õ Ä¡¾ÆÇ¥¸éÀÌ ÇϾá»öÀ¸·Î ºÎ½ÄµÇ´Â °ÍÀ» ÀǹÌÇÕ´Ï´Ù. Żȸ´Â ´çºÐÀ̳ª »êµµ°¡ ³ôÀº À½½Ä¹°À» °úµµÇÏ°Ô ¼·ÃëÇϰųª ÀÕ¼ÖÁúÀ» ¼ÒȦÈ÷ ÇÏ¸é ´©±¸¿¡°Ô³ª »ý±æ ¼ö ÀÖ´Â °ÍÀÌÁö¸¸ ±³Á¤ÀåÄ¡¸¦ ÀåÂøÇÑ °æ¿ì ÀÕ¼ÖÁúÀ» ¼ÒȦÈ÷ ÇÏ¸é ¹ß»ý °¡´É¼ºÀÌ ´õ ³ôÀ¸¸ç ½ÉÇÏ°Ô ÁøÇàµÉ °æ¿ì º°µµÀÇ ÃæÄ¡Ä¡·á°¡ ÇÊ¿äÇÒ ¼ö ÀÖ½À´Ï´Ù(±×¸²1).
|
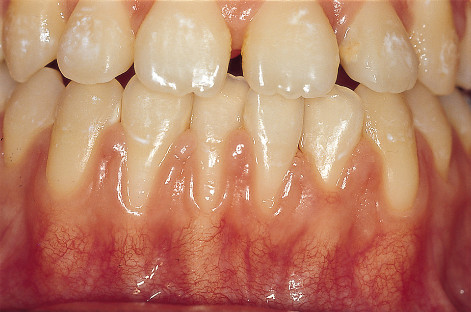
2) ÀÕ¸öÀÇ ¿°Áõ ¹× ÅðÃà
±³Á¤ÀåÄ¡¸¦ ÀåÂøÇϰí ÀÕ¼ÖÁúÀ» °ÔÀ»¸®Çϸé ÀÕ¸öÀÌ º×°í Çǰ¡ ³ª±â ½±½À´Ï´Ù. ÀÌ·± °æ¿ì ÀÕ¼ÖÁúÀ» Ãæ½ÇÈ÷ ÇÏ¸é º°µµÀÇ Ä¡·á¸¦ ¹ÞÁö ¾Ê¾Æµµ Ä¡À¯µÉ ¼ö ÀÖÀ¸³ª Á¤µµ°¡ ½ÉÇϰųª ±¸°À§»ý °ü¸®´É·ÂÀÌ ºÎÁ·ÇÑ °æ¿ì Ä¡ÁÖ, ¿¹¹æÄ¡·á¸¦ ¹Þ¾Æ¾ßÇÕ´Ï´Ù. ÀÕ¸öÀÇ ÅðÃàÀº ³ªÀ̰¡ µé°Å³ª ±¸°À§»ý»óŰ¡ ÁÁÁö ¾ÊÀ» ¶§ ³ªÅ¸³ª¸ç ¶§·Î´Â À߸øµÈ ÀÕ¼ÖÁú ¹æ¹ý¿¡ ¿øÀÎÀÌ ÀÖ½À´Ï´Ù(±×¸²2).
|
3) Ä¡±ÙÀÇ Èí¼ö
±³Á¤Ä¡·á¸¦ Çϸé Ä¡¾ÆÀÇ »Ñ¸®°¡ »À ¼ÓÀ» À̵¿ÇÏ¸é¼ Èí¼öµÇ¾î ª¾ÆÁú ¼ö ÀÖ½À´Ï´Ù. ´ëºÎºÐÀÇ °æ¿ì ±³Á¤Ä¡·á¿¡ ÀÇÇÑ Èí¼öÀÇ Á¤µµ°¡ °æ¹ÌÇÏ¿© Ä¡¾ÆÀÇ ¼ö¸íÀ̳ª Á¤»óÀûÀÎ ±â´ÉÀ» ¹ßÈÖÇϴµ¥ ¿µÇâÀ» ¹ÌÄ¡Áö ¾Ê½À´Ï´Ù. ±×·¯³ª °©»ó¼±Áúȯ°ú °°Àº Àü½ÅÁúȯÀ̳ª µå¹°°Ô ¿øÀκҸíÀ¸·Î Ä¡±ÙÀÌ ½ÉÇÏ°Ô Èí¼öµÉ ¼öµµ ÀÖÀ¸¸ç(±×¸²3), ±ØÈ÷ µå¹°Áö¸¸ ±³Á¤Ä¡·á¸¦ Áß´ÜÇÏ°í ½Å°æÄ¡·á¸¦ ÇÏ¿©¾ß ÇÏ´Â °æ¿ìµµ ÀÖÀ» ¼ö ÀÖ½À´Ï´Ù.
|
4) ÅΰüÀýÀÇ Àå¾Ö
ÅΰüÀýÀÇ Àå¾Ö´Â Á¤µµÀÇ Â÷ÀÌ´Â ÀÖÁö¸¸ ÀüüÀα¸ÀÇ 70% ÀÌ»óÀÌ ÀáÀçÀûÀ¸·Î Áö´Ï°í ÀÖ´Â °ÍÀ¸·Î º¸°íµË´Ï´Ù. ÇöÀç±îÁö ÇмúÀûÀÎ ¿¬±¸¿¡ ÀÇÇÏ¸é ±³Á¤Ä¡·á Áß¿¡ ÅΰüÀý Àå¾ÖÀÇ Áõ»óÀÌ ³ªÅ¸³ª¸é ±³Á¤Ä¡·á¿¡ ÀÇÇÑ °ÍÀ¸·Î ÀǽÉÇϱ⠽¬¿ì³ª ÅΰüÀýÀÇ Àå¾Ö´Â ±³Á¤Ä¡·á¿Í Á÷Á¢ÀûÀ¸·Î °ü·ÃÀÌ ¾ø½À´Ï´Ù. ÀÏ´Ü Áõ»óÀÌ ³ªÅ¸³ª¸é º°µµÀÇ ¹°¸®Ä¡·á³ª ¾à¹°Ä¡·á°¡ ÇÊ¿äÇÑ °æ¿ìµµ µå¹°°Ô ÀÖ½À´Ï´Ù.
5)Ä¡·á±â°£ÀÇ Àå±âÈ
±³Á¤Ä¡·á´Â ´Ù¸¥ Ä¡°úÄ¡·á¿Í ´Þ¸® ¿À·£ Ä¡·á±â°£À» ÇÊ¿ä·Î ÇÕ´Ï´Ù. Åë»óÀûÀÎ Ä¡¿±³Á¤Ä¡·áÀÇ °æ¿ì 2³â ÀüÈÄÀÇ ±â°£ÀÌ ¼Ò¿äµÇ³ª Áõ·Ê¿¡ µû¶ó 1³â¿¡¼ ±æ°Ô´Â 5³â±îÁöÀÇ ±â°£ÀÌ ¼Ò¿äµÇ¸ç Ä¡·á³»¿ë ¹× ȯÀÚÀÇ ÇùÁ¶µµ, »ý¸®Àû Á¶°Ç¿¡ µû¶ó ¿¹»óÄ¡·á±â°£°ú ´Ù¼Ò Â÷À̰¡ ÀÖÀ» ¼ö ÀÖ½À´Ï´Ù. °æ¿ì¿¡ µû¶ó ƯÁ¤ÇÑ ¾à¹°ÀÇ º¹¿ëÀ̳ª Àü½ÅÁúȯÀÌ ÀÖÀ» °æ¿ì Ä¡¾ÆÀ̵¿ ¼Óµµ°¡ ´À¸®¸ç Ä¡Á¶°ñ¼Ò½Ç, ºÒƯÁ¤ÇÑ Ä¡±ÙÈí¼ö µîÀÌ ÀÖÀ» °æ¿ì ±³Á¤·ÂÀ» Á¶ÀýÇÏ¿© Ä¡·á°¡ Àå±âÈ µÇ´Â °æ¿ì°¡ µå¹°°Ô ÀÖ½À´Ï´Ù.
6) ±³Á¤Ä¡·áÀÇ Àç¹ß
±³Á¤Ä¡·á°¡ ³¡³ª°í Àç¹ßÀ» ¹æÁöÇϱâ À§ÇØ ÀÏÁ¤±â°£ º¸Á¤ÀåÄ¡¸¦ ÀåÂøÇÏ¿©¾ß ÇÕ´Ï´Ù(±×¸²4). ÀÏÁ¤±â°£ À¯ÁöµÉ °æ¿ì ´ë°Ô ¾ÈÁ¤ÀûÀ¸·Î À¯ÁöµÇ³ª Ä¡·áÁ¾·á½ÃÀÇ °á°ú°¡ ¿Ïº®ÇÏ°Ô À¯ÁöµÉ ¼ö´Â ¾ø½À´Ï´Ù. ±× ÀÌÀ¯´Â Ä¡¾Æ°¡ ÁÖÀ§ÀÇ È¯°æÁ¶°Ç(¼ºÀå¹ßÀ°, Ä¡ÁÖÁúȯ, ¾Ç½À°ü)¿¡ ÀûÀÀÇϱâ À§ÇÏ¿© Æò»ýµ¿¾È »ý¸®ÀûÀÎ À̵¿À» Çϱ⠶§¹®ÀÔ´Ï´Ù. ±³Á¤Ä¡·á¸¦ ÇÏÁö ¾ÊÀº ¼ºÀο¡¼µµ À̰¡ ¿òÁ÷ÀÌ´Â °ÍÀº ÀÌ·¯ÇÑ ÀÌÀ¯ ¶§¹®ÀÔ´Ï´Ù. Ãʱâ Àç¹ßÀÇ ¼ºÇâÀº Áõ·Ê¸¶´Ù ´Ù¾çÇϸç Àç¹ß ¼ºÇâÀÌ Å« °æ¿ì ȯÀÚÀÇ ÇùÁ¶°¡ ¾øÀ¸¸é Àç¹ßÀ» ¹æÁöÇϱâ Èûµì´Ï´Ù.
|
ÀÌ·¯ÇÑ ÀáÀçÀûÀÎ ºÎÀÛ¿ëÀº µå¹°°Ô ³ªÅ¸³ª¸ç ÀÇ»çÀÇ Áö½Ã¸¦ Àß ÀÌÇàÇÏ°í °³ÀÎ ±¸°À§»ýÀ» öÀúÈ÷ ÇÑ´Ù¸é ±³Á¤Ä¡·á¿¡ µû¸¥ ºÎÀÛ¿ëÀº ±ØÈ÷ °æ¹ÌÇÕ´Ï´Ù. ±³Á¤ÀÇ»çÀÇ ¿Ã¹Ù¸¥ Ä¡·á¹æ¹ý°ú ȯÀÚÀÇ ÇùÁ¶°¡ µÞ¹Þħ µÇ¾î ¾Æ¸§´ä°í ±â´ÉÀûÀÎ ±¸° ±â´ÉÀ» ȸº¹ÇÒ ¼ö ÀÖ´Ù¸é ±³Á¤Ä¡·áÀÇ ÀÌÁ¡ÀÌ ºÎÀۿ뺸´Ù´Â ÈξÀ Ŭ °ÍÀÔ´Ï´Ù.
¿µ¾ÏÀϺ¸ yailbo@daum.net
2026.03.06(±Ý) 10:18
















